Australian Research Uncovers New Prostate Cancer Cell, Aiding Early Detection
Australian researchers have developed the world's most comprehensive cellular map of early-stage prostate cancer, uncovering critical insights into the disease's origins. This groundbreaking study, conducted at the Garvan Institute of Medical Research, has identified a previously unknown cell type that plays a key role in cancer development, potentially opening new avenues for early detection and improved patient outcomes.
Detailed Cellular Analysis Reveals Early Changes
The research involved analysing tissue samples from 24 patients recently diagnosed with early-stage prostate cancer, a disease that affects approximately one in five Australian men and ranks among the most prevalent cancers in the country. The study produced an extensive atlas, cataloguing 11 major cell types and 50 minor subtypes, providing unprecedented detail into the cellular landscape of the disease.
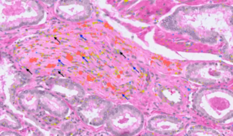
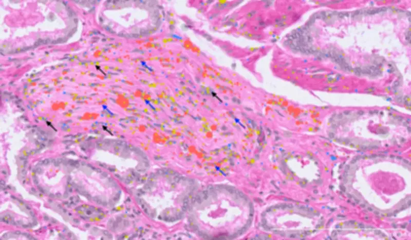
A significant discovery from this work is the identification of perineural cancer-associated fibroblasts, a type of connective tissue cell located near nerves within tumours. This finding is particularly crucial because prostate cancer tumours that grow in proximity to nerves have long been linked to poorer patient prognoses. The presence of these cells offers new clues about how tumours might interact with nerves to facilitate spread, potentially leading to metastatic cancer where the disease moves beyond its original site.
Implications for Diagnosis and Treatment
Lead researcher Alexander Swarbrick emphasized the transformative potential of these findings. "We've captured a molecular readout showing years of cancer development," he explained. "What's particularly surprising is the significant number of cells that look perfectly ordinary but have already acquired DNA changes associated with cancer. This suggests that current diagnostic methods using conventional microscopy may not be granular enough to detect these early mutations."
The research highlights that many cells appear healthy under standard examination but harbour genetic alterations linked to cancer, indicating a need for more sensitive detection techniques. This could lead to the development of new risk assessment tools, earlier diagnostic methods, and better strategies to identify patients at higher risk of developing aggressive forms of prostate cancer.
Future Research Directions
Moving forward, the research team plans to expand their study to include a larger number of patients and delve deeper into specific cellular populations. A key focus will be on investigating cells that seem normal but contain genetic changes, as well as understanding the function of the newly discovered perineural fibroblasts. This work aims to clarify why tumours with more nerve involvement tend to have worse outcomes, potentially revealing new therapeutic targets.
Professor Swarbrick described the current state of knowledge as "a peek through the window, but it's still somewhat blurry." He added, "Now we have more precise questions about these pre-malignant cells, and we can apply more focused techniques to be crystal clear about the sequence of genetic events that drive this cancer." This ongoing research promises to enhance our understanding of prostate cancer progression and pave the way for more effective interventions in the future.



